Ultimele articole
Sterilizam zilnic
Sterilizări -
Desi aici postam mai rar, munca se desfasoara zilnic. Cautam o firma care sa ne ajute sa terminam anul fara datorii acumulate acest an. Firmele pot sponsoriza acum la final de an 20 la suta din …
Sugar gasit
Adopții -
Avem un micut pe care l-am trecut acum de pe biberon pe boabe inmuiate. Fusese luat acum doua saptamani de la cineva care ... sa zicem doar ca nu avea intentii bune. Doritorii sunt rugati sa ne …
Motanei adoptati
Adopții -
Am avut recent doi motanei care au fost adoptati deja, dupa deparazitari, vaccinari si castrare. Multumim adoptatorului si donatorilor.
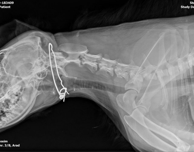
Caine accidentat
Asistență medicală -
O doamna a gasit un caine lovit de masina si l-a tras pe marginea drumului pentru a suna peste tot in cautare de ajutor. Am raspuns pozitiv si am facut totul pentru el. Din pacate nu a putut fi …
Maratonul mosilor
Sport 4 Strays -
Va invitam la un nou eveniment sportiv caritabil pentru animalute, pe 6 decembrie 2025. Suntem colaboratorii ARED in acest eveniment, ocupandu-ne de inscrieri si organizare, alaturi de …
